
Radiografía Dental ULTRA NÍTIDA..!

La mejor calidad a MENOR PRECIO..!

RADIOGRAFÍAS Y TOMOGRAFÍAS DENTALES
Somos un centro radiológico dental ubicado en la ciudad de Quito de prestigio, encaminado a satisfacer las necesidades prioritarias de la salud odontológica.

Misión
Otorgar un servicio de calidad contribuyendo a un diagnostico eficaz para el correcto tratamiento de los pacientes que llegan a nuestro centro radiológico.

visión
Llegar a ser la empresa líder del mercado en cuanto a la toma de imágenes en el área odontológica para contribuir en la salud oral de la población a través de un servicio confiable y personal altamente capacitado.
Que hacemos
Realizamos estudios radiológicos dentales con la tecnología digital más avanzada y la mejor calidad del mercado.
calidad
La mejor calidad en imágen del mercado...
amplios horarios
atendemos de lunes a sábados...
alta tecnología
los mejores equipos con la mejor tecnología...
bajos precios
el menor precio con la mejor calidad...
Nuestros Servicios
Ponemos a disposición nuestros servicios, encaminados a un fin común que es la salud bucal de nuestros pacientes

estudios de ortodoncia
Un estudio de ortodoncia engloba una serie de pruebas y análisis, no solo de tus dientes, sino también del maxilar y la mandíbula: las estructura óseas que los sustentan. Este estudio de los huesos es esencial para analizar tu mordida y detectar la causa de los posibles problemas de oclusión

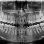
Panorámica de Maxilares
Es una técnica radiológica que muestra las estructuras óseas (los maxilares, la articulación de la mandíbula y los dientes) del rostro del paciente en una sola imagen general. Para ello, se vale de una máquina de rayos X especial, que rota alrededor de la cabeza del paciente.

Postero-Anterior Cráneo
Es una radiografía extraoral que se realiza utilizando un cefalostato, el cual nos permite estandarizar el posicionamiento de la cabeza del paciente para de esta manera obtener radiografías comparables en el tiempo.

A.T.M. Bilateral BA / BC
Es una técnica mediante la cual, utilizando rayos X, se obtienen imágenes de la articulación temporo-mandibular para su estudio. Indicaciones: traumatismo, dolor al masticar, ruido al masticar, limitación en la apertura bucal.

Edad Ósea (Carpo)
El estudio de la edad ósea les permite a los médicos calcular la madurez del sistema esquelético de un niño. Se suele hacer con una radiografía de la muñeca, la mano y los dedos derechos. Se trata de un procedimiento seguro e indoloro en el que se usa una pequeña cantidad de radiación

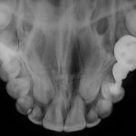
Oclusal
Es un tipo de radiografía intraoral, ya que se realiza desde el interior de la boca. Mediante la radiografía oclusal se pueden ver fracturas del alveolo, los límites de lesiones quísticas o tumorales, dientes incluidos, cuerpos extraños, etc.

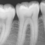
Periapical
Forma parte de las radiografías intraorales. Su objetivo principal es ver los ápices dentales, la punta de las raíces, la corona, el tejido óseo y alrededor de los dientes. Gracias a esta técnica se puede explorar de manera exhaustiva todo el diente y a su alrededor.

Cefálica
Es una exposición lateral del cráneo del paciente, con la que podemos evaluar anomalías de desarrollo de las estructuras óseas y dentarias desde el plano sagital, relación de los maxilares individualmente y en conjunto, posición de los dientes, relación de tejidos blandos, traumatismos
Donde Estamos
Matriz:
OE4D, Jose M. Alemán S22-83. S23 Bonifacio Aguilar SOLANDA, Sector la Jota, (frente a los pollos la Jota)
Telf: 0984 640 521
Sucursal 1:
San Antonio de Pichincha, Av. 13 de Junio S1-39 y Av. Equinoccial, Edificio Equinoccial Center segundo piso
Telf: 0983 123 927
NECESITAS MÁS INFORMACIÓN
Atendemos tus consultas inmediatamente..!!
ENCUENTRA NUESTROS CENTROS MÁS CERCANOS
Matriz:
OE4D, Jose M. Alemán S22-83. S23 Bonifacio Aguilar SOLANDA,
Sector la Jota, (frente a los pollos la Jota)
Teléfono: 0984 640 521
Sucursal 1:
San Antonio de Pichincha, Av. 13 de Junio S1-39 y Av. Equinoccial,
Edificio Equinoccial Center segundo piso
Teléfono: 0984 640 521
Mail: info@rxpanorex.com
